Nha Khoa Kim

Các bài viết vào Wednesday 12th October 2016

   Trong: Bệnh nha chu
 

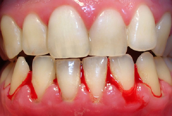
Thưa bác sỹ, chảy máu chân răng có nguy hiểm không? Thời gian gần đây răng tôi có biểu hiện chảy máu khi đánh răng hoặc tác động vào vùng lợi, đôi khi tự nhiên chảy máu răng.

Trả lời :
 
Chào bạn Quỳnh Trang !
 
Rất cảm ơn bạn đã tin tưởng và chia sẻ băn khoăn với chúng tôi. Về câu hỏi “chảy máu chân răng có hiểm nguy không” của bạn, y khoa KIM xin được trả lời cụ thể như sau.
 

 
Xem thêm thông tin chi tiết tại: http://caovoirang.vn
 
Chảy máu chân răng là một vấn đề răng miệng hơi nhiều mà chiếm phần lớn là do các bệnh lý răng mồm gây nên như bệnh như sâu răng, viêm lợi viêm xung quanh răng, viêm nha chu. khi thức ăn còn sót lại trên thân răng, kẽ răng ko được làm sạch dần dần mang thể tạo nên mảng bám cao răng. Vi khuẩn sẽ chuyển hóa những chất đường, tinh bột với trong thức ăn thừa tạo thành axit phá vỡ vạc cấu trúc răng và ảnh hưởng tới nướu gây nên hiện tượng viêm nướu hay viêm nha chu.
 

Chảy máu chân răng có nguy hiểm không?

 
Tuy nhiên còn một số bắt nguồn từ trực tiếp dẫn tới chảy máu chân răng như đánh răng ko đúng phương pháp, dùng tăm xỉa răng. lúc sử dụng tăm vô tình chọc quá mạnh vào lợi với thể làm cho lợi chảy máu. một số bệnh liên quan tới chế độ dinh dưỡng như thiếu chất, dinh dưỡng kém, thiếu vitamin cũng là nguyên nhân chảy máu chân răng.
 
Chảy máu chân răng sở hữu khởi thủy chiếm phần lớn do những bệnh răng mồm nhưng cũng mang lúc do các bệnh lý toàn thân gây nên mà bạn chẳng thể khinh thường như những bệnh về gan làm cho thời kỳ tổng hợp chất đông máu trong khoảng vitamin K bị tác động, làm chân răng hay bị chảy máu, bệnh xuất huyết yếu tiểu cầu. Ung thư máu khiến cơ thể bị nhiễm trùng thường xuyên và chảy máu chân răng là thương tổn với thể xuất hiện ở các người bị bệnh này.
 
Việc xác định rõ bắt nguồn từ gây ra trạng thái chảy máu chân răng sẽ là điều kiện để mang những phác đồ điều trị phù hợp nhất. Trên thực tế, giả dụ chảy máu chân răng do cao răng gây nên thì việc ngăn ngừa những mảng bám này sẽ giúp “làm lành” phần nướu và dần dần hiện tượng chảy máu chân răng sẽ chấm dứt kế bên việc chăm nom vệ sinh răng mồm tốt.
 

Chảy máu chân răng không còn nguy hiểm với cách chữa sau đây

 
Lấy cao răng là 1 thao tác đơn thuần nhưng cũng cần tuân thủ theo đúng thao tác, đặc thù là cần chú ý vệ sinh cao răng dưới nướu – điều kiện tiên quyết để loại bỏ vi khuẩn gây nên trạng thái chảy máu chân răng. hiện nay, việc làm sạch cao răng là điều hoàn toàn với diễn đạt thực hóa sở hữu sự tương trợ của công nghệ lấy cao răng bằng máy siêu âm Cavitron BP 8.0 giúp vệ sinh cao răng ngay cả dưới nướu.
 
bên cạnh đó, ví như bắt nguồn từ thuộc về những bệnh lý toàn thân thì cần có sự thăm khám cụ thể của bác sỹ chuyên khoa cộng sở hữu các xét nghiệm mới sở hữu thể với biện pháp điều trị phù hợp.

 

> Trả lời nhanh
Nhập vào tên của bạn:
Nhập mã số xác nhận (bắt buộc):
» Hiển thị cửa sổ mặt cười       » Download bộ gõ tiếng Việt Unikey
 Bạn có muốn chuyển các ký hiệu như :) :( :D ...thành mặt cười trong bài viết này?
 Bạn có muốn chèn thêm chữ ký vào bài viết này ?
 


 
Thông tin cá nhân

khangpro191
Họ tên: Khang Ngọc Nguyễn
Nghề nghiệp: SEOer
Sinh nhật: : 3 Tháng 4 - 2011
Nơi ở: Hà Nội
Trạng thái: User is offline (Vắng mặt)
Thêm vào nhóm bạn bè
Gửi tin nhắn

CHBTNSB
1
2
3
4
5
6
7
8
9
10
11
12
13
14
15
16
17
18
19
20
21
22
23
24
25
26
27
28
29
30
31



(♥ Góc Thơ ♥)

Tik Tik Tak

Truyện cười

Xem theo danh mục
Xem theo danh mục:
     


Tìm kiếm:
     

Lượt xem thứ:





Mạng xã hội của người Việt Nam.
VnVista I-Shine © 2005 - 2025   VnVista.com