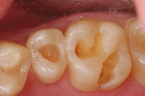
Những lỗ nhỏ xuất hiện trên bề mặt răng của các bạn hay thường được biết đến là lỗ răng sâu, tại sao lại có chúng và chúng xuất hiện như thế nào, thử tìm hiểu xem nguyên nhân vì đâu nhé. 
Từ khi chúng ta được sinh ra, trong miệng của chúng ta không có các loại vi khuẩn có hại. Khi chúng ta lớn lên, vi khuẩn bắt đầu xâm nhập vào miệng của bạn, những thức ăn ta sử dụng hàng ngày, nước uống, những vật dụng và những đứatrẻ thường đưa vào miệng bát cứ thứ gì mà chúng thấy, hay đơn giản chỉ là một nụ hôn của người lớn tới bạn. Và đó chính là điều phiền toán lớn nhất cho tình trạng răng miệng sau này của chúng ta.
Cách vi khuẩn xâm nhập từ thức ăn
Mỗi khi chúng ta ăn, các thức ăn ưa thích đặc biệt là các loại bánh kẹo, sự thích thú cảm giác ngọt này cũng không thể che dấu nỗi việc mà các vi khuẩn bé nhỏ xâm nhập vào miệng và bám trên bề mặt răng của chúng ta. Trong quá trình ăn uống, các vi khuẩn sẽ sản sinh ra một loại axit ăn mòn răng, bằng cách tạo ra các mảng bảm mà bản chất của chúng là các loại thức ăn thừa nhỏ vụn, với huyết thanh của máu răng, bám chặt lấy răng và ăn mòn răng. Chỉ có thể đánh răng và dùng chỉ nha khoa mới làm sạch được chúng, các mảng bám này phá hủy cấu trúc của răng bạn hàng này đến khi chúng hình thành nên các lỗ mà ta thường gọi là các lỗ sâu răng. Cơ thể của chúng ta được tạo hóa ban cho một cơ chế tự làm lành vết thương tuyệt vời, trong đó có các bộ phận xương, khi chúng ta gãy xương chẳng hạn, cơ thể sẽ tiết ra một loại dịch mà có tác dụng như là chất hàn các vết thương lại với nhau. Răng cũng được cấu tạo cơ bản giống như xương, nhưng khi chúng ta có những lỗ sâu răng, việc tự hàn đắp lại là không thể, có thể là do trong miệng của chúng ta luôn chứa một độ ẩm nhất định mà không cho phép các chất dịch này hoạt động.
Trám răng khắc phục lỗ sâu răng
Từ thời xa xưa khi con người có những lỗ sâu răng thì đó là một điều khủng khiếp khi ăn uống, cách mà họ đối phó lại là nhổ bỏ chúng đi. Nhưng bay giờ bạn không phải lo lắng nhiều, các nha khoa thẩm mỹ sẽ giúp bạn. Cách làm thật đơn giản là dùng một chất kết dính có khả năng đóng rắn nhanh mà không gây nguy hiểm cho cơ thể để trám các lỗ hổng lại. Trong thành phố, hầu hết các nha khoa tại các khu Bình Thạnh, Quận 1, nha khoa quận Gò Vấp đều có thể thực hiện được phương pháp điều trị này.
Nguồn: Tại sao xuất hiện lỗ trên răng