Aug 12 2015, 11:09 AM
Bởi: suckhoe280
Niềng răng tháo lắp không những giúp bạn thoải mái trong quá trình vệ sinh răng miệng mà còn đảm bảo tính thẩm mỹ cao hơn trong quá trình niềng răng. Tuy nhiên, nhiều khách hàng lo lắng liệu niềng răng tháo lắp có hiệu quả không ? Thời gian niềng răng tháo lắp mất bao lâu và có tốn nhiều chi phí hơn so với các loại niềng răng thông thường.
Niềng răng tháo lắp có hiệu quả cao
Niềng răng tháo lắp là gì ?Niềng răng tháo lắp là việc sử dụng khí cụ để chỉnh nha cho khách hàng bằng cách tháo ra lắp vào một cách tiện lợi nhưng an toàn. Khác với phương pháp niềng răng truyền thống là đeo niềng...Xem tiếp »
Aug 12 2015, 09:50 AM
Bởi: suckhoe280
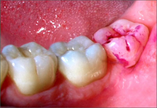
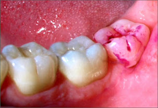
Răng khôn là những chiếc răng mọc cuối cùng của hàm. Tùy vào từng trường hợp, răng khôn mọc sai lệch không đúng hướng gây ra những tác hại nghiêm trọng ảnh hưởng đến sức khỏe răng miệng. Vậy làm thế nào để khắc phục. Chúng ta cùng đi tìm hiểu các thông tin về nó qua bài viết dưới đây nhé! Thông thường răng khôn bắt đầu mọc ở độ tuổi từ 17 đến 21 tuổi. Nhiều trường hợp có thể răng khôn mọc muộn hơn. Hầu hết mọc răng khôn nhiều người phải đi nhổ bỏ. Bởi lẽ, răng khôn mọc sau cùng nên có thể bị thiếu chỗ gây ra mọc không đúng hướng.
Tác hại của răng khônXem tiếp »
Aug 12 2015, 09:03 AM
Bởi: suckhoe280
Niềng răng là một trong những giải pháp chỉnh nắn giúp phục hình thẩm mỹ cho hàm răng. Tuy nhiên, rất nhiều người chủ quan trong việc chăm sóc răng miệng. Chế độ chăm sóc không tốt khi niềng răng sẽ ảnh hưởng rất nhiều tới sức khỏe.
![]() Niềng răng được áp dụng cho nhiều trường hợp như răng bị hô, móm, lệch lạc,…Một hàm răng đều đặn sẽ giúp cho nụ cười thêm tự tin , tỏa sáng hơn. Bên cạnh việc điều trị niềng răng chúng ta cũng cần trang bị những kiến thức cơ bản về chăm sóc răng miệng để việc điều trị đạt được kết quả tốt. Đánh răng không đúng cáchKhi niềng răng bệnh nhân có...Xem tiếp »
Aug 11 2015, 11:27 AM
Bởi: suckhoe280
Để cải thiện hàm răng của mình thì bọc răng sứ thẩm mỹ là phương pháp được ưu tiên của nhiều người. Tuy nhiên, bọc răng sứ thẩm mỹ nhiều người vẫn băn khoăn liệu có bền, có màu sắc đẹp không? Nên hay đặt câu hỏi có nên bọc răng sứ thẩm mỹ ?
Khi nào nên bọc răng sứ thẩm mỹ ?
Những trường hợp sau đây nên bọc răng sứ thẩm mỹ:
– Những trường hợp mất một hoặc nhiều răng ngoài phương pháp làm hàm giả tháo lắp, cấy ghép implant thì làm cầu răng bằng răng sứ thẩm mỹ cũng là một phương pháp được rất nhiều khách hàng lựa chọn. Đặc biệt, những người chân... Xem tiếp »
Aug 11 2015, 09:55 AM
Bởi: suckhoe280
Mất răng không chỉ khiến bạn ăn nhai khó khăn, mất thẩm mỹ mà còn gây ra nhiều bệnh khác về răng miệng. Hãy tham khảo các thông tin về implant nha khoa dưới đây để có giải pháp điều trị tốt nhất, hạn chế các ảnh hưởng không tốt cho sức khỏe của bạn. Khi răng của bạn bị mất sẽ tạo một khoảng trống trên hàm răng. Các răng bên cạnh sẽ có xu hướng mọc dài ra và di chuyển về phía khoảng trống đó. Trường hợp này kéo dài sẽ gây ra tình trạng tiêu xương hàm. Để giải quyết vấn đề này, bệnh nhân nên trồng răng sớm sau khi mất răng. Hiện nay ngoài phương pháp cấy ghép implant ra thì... Xem tiếp »
Aug 11 2015, 09:06 AM
Bởi: suckhoe280
Khi bước vào giai đoạn thay răng và mọc răng vĩnh viễn, nhiều trẻ có thói quen xấu như mút tay, đưa đẩy lưỡi xảy ra tình trạng răng bị móm. Ngoài ra móm còn có thể do gen di truyền. Mặc dù móm không gây ảnh hưởng nghiêm trọng nhưng gây mất thẩm mỹ cho khuôn mặt và lâu dài bệnh nhân dễ mắc các bệnh răng miệng và các bệnh về hệ tiêu hóa. Vậy có giải pháp nào để khắc phục? Mọi người có thể tham khảo qua bài viết dưới đây nhé.
![]() Ở những người bị móm ta dễ nhận thấy phần xương hàm hoặc các răng ở hàm dưới mọc chìa ra bên ngoài so với hàm trên. Ngoài hiện tượng này thì móm răng còn có thể làm cho... Xem tiếp »
Aug 10 2015, 11:20 AM
Bởi: suckhoe280
Mất răng là một sự cố không chỉ ảnh hưởng đến sức khỏe răng miệng mà còn có thể làm thay đổi diện mạo của bạn. Ở một người bình thường, có bộ răng vĩnh viễn đầy đủ gồm 32 chiếc răng, chúng bắt đầu mọc và thay thế cho bộ răng sữa từ lúc khoảng 6 tuổi. Khi các răng vĩnh viễn mọc lên và vì một lý do nào đó mà bị mất đi thì sẽ không có răng nào mọc lên để thay thế cho chúng như răng sữa. Và nếu không được phục hồi thích hợp, kịp thời thì ắt hẳn bạn sẽ gặp phải những hậu quả khôn lường khi bị mất răng. Đó có thể là những hậu quả tại chỗ và toàn thân – ảnh hưởng ngay tức thì... Xem tiếp »
Aug 10 2015, 09:38 AM
Bởi: suckhoe280
Chắc hẳn, những ai sở hữu hàm răng hô, thưa, lệch lạc luôn cảm thấy mất tự tin và mong muốn cải thiện nó. Một hàm răng đẹp là niềm mơ ước của nhiều người và có lẽ do nắm bắt nhu cầu đó mà phương pháp niềng răng đã ra đời. Hiện nay, niềng răng trở nên quen thuộc với những người có hàm răng khiếm khuyết và là phương pháp tốt nhất để họ tìm kiếm lại nụ cười đẹp.
Dịch vụ niềng răng ngày càng phát triển và đa dạng phương pháp. Hiện nay, nhiều trung tâm đẩy mạnh dịch vụ này. Thế nhưng không phải trung tâm niềng răng nào cũng tốt. Để tìm kiếm được một địa chỉ niềng... Xem tiếp »
Aug 10 2015, 08:47 AM
Bởi: suckhoe280
Khi bước vào giai đoạn lớn tuổi, răng bắt đầu yếu dần đi và dễ bị tổn thương , gãy rụng hơn. Bên cạnh đó nguyên nhân gây mất răng cũng có thể là do tai nạn hoặc một vài chấn thương nào đó. Lúc đó, người bị mất răng sẽ cảm thấy khó khăn trong ăn uống và sinh hoạt và mất thẩm mỹ cho khuôn mặt. Hiện nay, trồng răng implant sẽ là giải pháp tốt nhất để khắc phục tình trạng trên.
Thông thường hàm răng được phân ra thành ba nhóm cơ bản là răng cửa, răng nanh và răng hàm. Mỗi loại răng có một chức năng riêng và hỗ trợ cho nhau . Chính vì thế mà một khi bị mất răng thì lực nhai không đồng đều... Xem tiếp »
Aug 10 2015, 08:43 AM
Bởi: suckhoe280
Khi sở hữu một hàm răng lệch lạc sẽ làm mất tính thẩm mỹ của khuôn mặt và sự duyên dáng của bạn. Ngoài ra răng lệch lạc sẽ làm bạn khó khăn hơn khi vệ sinh răng miệng và nếu bạn vệ sinh răng miệng không kỹ lưỡng sẽ làm tăng nguy cơ mắc bệnh răng miệng là rất cao. Vì vậy nếu bạn có răng lệch lạc hãy nhanh chóng tiến hành niềng răng thẩm mỹ để nắn chỉnh lại hàm răng của mình thẳng đều hơn.
Dịch vụ niềng răng đang là dịch vụ được nhiều người áp dụng để thẩm mỹ lại hàm răng lệch lạc vì đây là dịch vụ thẩm mỹ tốt không gây độc hại cho bạn và cũng không áp dụng phẫu thuật. Hiện... Xem tiếp » |
Thực đơn người xem
Bài viết cuối
Niềng răng invisalign có áp dụng cho răng hô được
Niềng răng bằng kim loại áp dụng tình trạng nào? Niềng răng kim loại mang lại những ích lợi gì? Điểm nổi bật của hình thức niềng răng kim loại Niềng sứ mất khoảng bao nhiêu lâu? Niềng sứ mất khoảng bao nhiêu lâu? Khách hàng băn khoăn niềng răng sẽ đau lắm phải kh Có cách nào giảm cảm giác đau khi niềng răng không Những giai đoạn niềng răng thường gây đau và cách Những loại niềng răng inox được khuyên dùng Bình luận mới
hophuong09 trong
Niềng răng kim loại mang lại những ích lợi gì?
nambc2017 trong Răng khôn có ý nghĩa gì đặc biệt không? mandepdainghia trong Giải tỏa nỗi lo thường gặp khi niềng răng mandepdainghia trong Giải tỏa nỗi lo thường gặp khi niềng răng mandepdainghia trong Giải tỏa nỗi lo thường gặp khi niềng răng mandepdainghia trong Giải tỏa nỗi lo thường gặp khi niềng răng mandepdainghia trong Giải tỏa nỗi lo thường gặp khi niềng răng (♥ Góc Thơ ♥)
Tik Tik Tak
Truyện cười
Xem theo danh mục
Xem theo danh mục:
Blog chưa có danh mục nào. Tìm kiếm: |