Sưng lợi chân răng là hiện trạng khá phổ thông ở khá khá người Tuy nhiên nếu không được điều trị kịp thời có thể gây ảnh hưởng xấu dẫn tới mất răng bên lâu. Bài viết sau đây sẽ cung cấp cho bạn một số thông tin cụ thể về bệnh sưng nướu răng và phương án chữa sưng lợi răng đơn giản hiệu nghiệm, hãy xem thêm ngay nhé! Sưng lợi chân răng là gì?Sưng lợi là những triệu chứng bệnh về răng miệng hay gặp phải ở tất cả mọi người kể cả người lớn và trẻ nhỏ. Đó là căn bệnh dễ dàng, phổ quát nhưng nếu không chữa trị kịp thời, để tái phát nhiều lần, bệnh sẽ rất dễ... Xem tiếp »
Feb 24 2018, 03:13 PM
Bởi: HuongNguyennd
Nha chu là bệnh lý răng miệng phổ thông làm tổn thương răng và doanh nghiệp xung quanh nó. Bệnh tiến triển theo từng mức độ Khác nhau. Tùy từng vấn đề cụ thể mà bác sỹ chọn lựa biện pháp điều trị thích hợp. Thành thử đối với các khách hàng viêm nha chu răng viêm nghiêm trọng thì cần chỉ định chữa trị. khám bệnh nha chu cách điều trị nha chu viêm sẽ được thực hiện nếu cấp thiết.
Nha chu răng là gì?Viêm nha chu răng bao gồm: nướu lợi (hay lợi) quanh chân răng, túi nướu răng tạo bởi nướu lợi và cổ răng, xương ổ răng bao quanh chân răng-nằm dưới nướu lợi, hệ thống dây chằng quanh... Xem tiếp »
Feb 24 2018, 10:12 AM
Bởi: HuongNguyennd
Gương mặt là cái nhìn trước hết của người đối diện khi tiếp xúc. Người có vẻ mặt ưu nhìn, dễ thương có thể có thể tự tin khi gặp mặt và cười nói, trái lại nếu hàm bị lệch sẽ làm bạn ngại ngùng, ngại thường xuyên tiếp xúc. Khám bệnh chỉnh hàm lệch là phương pháp hoàn hảo giúp bạn chọn lọc lại diện mạo cân bằng, hấp dẫn.
Hàm bị lệch là gì?Hàm lệch là một hình dạng tiền sử bệnh khá phổ thông ở nhiều người giờ đây, mà biểu hiện rõ nhất chính là hiện trạng xương bị đưa ra quá nhiều về trước, lùi quá mức về phía sau hoặc thậm chí là lệch lạc hẳn sang một bên,... Xem tiếp »
Feb 23 2018, 10:44 AM
Bởi: HuongNguyennd
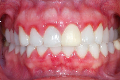
Sưng lợi là những dấu hiệu bệnh về răng miệng thường gặp ở tất cả mọi người kể cả người lớn và trẻ em. Đó là căn bệnh đơn giản, phổ biến nhưng nếu không chạy chữa kịp thời, để tái phát nhiều lần, bệnh sẽ rất tiện lợi có những rủi ro nguy hiểm.
Sưng lợi là gì?Sưng lợi chính là dấu hiệu cho những thực trạng sức khỏe trong khoang miệng, Lý do chính dẫ tới vấn đề này Đó là do sâu răng và viêm lợi gây. Sâu răng: Là các tổn thương của răng do vi khuẩn biến thành. Đây là thương tổn mà răng thật sẽ chẳng thể sửa sang, vì răng không thể tự tu chỉnh lại cấu tạo của răng... Xem tiếp »
Feb 22 2018, 03:27 PM
Bởi: HuongNguyennd
Bệnh viêm nha chu dẫn tới rất nhiều tác hại nguy hiểm cho bệnh. Bệnh nha chu không chỉ gây ra đau nhức, khó chịu mà còn ảnh hưởng đến thẩm mỹ khách hàng. Dẫu vậy, bệnh nha chu răng không phải là bệnh không thể chữa. Bệnh viêm nha chu được chữa càng sớm thì thời cơ sửa sang càng cao. Nếu như bệnh viêm nha chu mức độ nhẹ, viêm lợi nhẹ, mảng bám cao răng mềm chưa ăn sâu vào chân răng, hoàn toàn có thể giải phẫu nha chu bằng vật liệu đơn giản kiếm. Vậy cùng tìm tòi mẹo giải phẫu nha chu đơn giản ở tại nhà ra sao nhé!
Nên giải phẫu nha chu trong tình huống nào?Có cảm giác đau răng,... Xem tiếp »
Feb 22 2018, 10:09 AM
Bởi: HuongNguyennd
Bình thường mỗi người sẽ có từ 0 - 4 cái răng số tám. Tuy nhiên, răng trong cùng mọc bị lệch ra má là hiện tượng nhiều người gặp phải. Răng khôn thường mọc lúc người trưởng thành, khoảng từ 18 - 25 tuổi. Đây là thời kì xương ít tăng trưởng về kích cỡ. Chất lượng xương phát triển thành cứng hơn. Màng nhầy và mô phủ bên trên dày chắc cùng một vài yếu tố toàn thân khác tạo nên răng khôn trong cùng đơn giản mọc lệch và gây ra nhiều ảnh hưởng xấu gây khó chịu cho bệnh nhân.
Các rủi ro của răng số 8.Sâu răng số 7, tiêu xương và hỏng răng số 7 do răng khôn: răng số 8... Xem tiếp »
Feb 10 2018, 11:45 AM
Bởi: HuongNguyennd
Khám bệnh thẩm mỹ cười hở lợi là phương pháp chữa hiệu quả nhất cho tình huống cười hở nướu lợi mất thẩm mỹ. Tùy thuộc vào tình trạng và Lý do dẫn đến hiện trạng cười hở nướu lợi, mà các bác sỹ nha khoa thẩm mỹ sẽ ứng dụng kỹ thuật thẩm mỹ thích nghi, để đưa tới cho các bạn một nụ cười hoàn hảo như ước muốn
Cười bị hở nướu là gì?Bình thường, một nụ cười đẹp là sự liên kết hợp lý giữa 3 yếu tố: Răng, môi, lợi. Khi cười phần lợi lộ quá nhiều trên 3mm từ lức đó chân răng đến vành môi trên thì được gọi là cười bị hở lợi. Điều trị cười hở lợi... Xem tiếp »
Feb 9 2018, 09:26 AM
Bởi: HuongNguyennd
Viêm nha chu là một loại bệnh khá rộng rãi trong các bệnh về răng miệng, chúng có thể xảy ra sớm và tác động trên nhiều răng tạo điều kiện cho chức năng tiêu hóa bị giảm sút, đặc biệt là khi đã lớn tuổi. Cần chủ động dự phòng bệnh nhằm bảo đảm không để mất răng hàng loạt dẫn tới khó khăn trong việc ăn uống, kể cả trường hợp thẩm mỹ.
Nguyên nhânDo mảng bám thức ăn bám dọc theo cổ răng, khe răng... Vi khuẩn tích tụ trong các mảng bám này sẽ gây ra viêm nha chu. Lâu ngày bị vôi hóa thành vôi răng, cao răng khiến tình trạng nha chu răng càng ngày nặng hơn. Diễn biến bệnhTrước... Xem tiếp »
Feb 8 2018, 01:54 PM
Bởi: HuongNguyennd
Khi răng bị khấp khiểng lệch mà muốn cho đều, thì việc trước nhất bạn nên nghĩ tới là đến gặp chuyên gia nha khoa. Rồi đặt tình huống về niềng chỉnh răng,khoa học càng ngày phát triển vượt trội, số một là các công nghệ nắn chỉnh răng mọc lệch vẩu hàm trên móm đã giúp kha khá người tìm lại được sự tư tin trong họp mặt Hay như trong cuộc sống chất lượng công việc hàng ngày.
Lý do nào phát triển thành hiện trạng lệch lạc răng ?Răng mọc lệch lạc do di truyền Răng vẩu, lệch có tới khoảng 70% là do di truyền. Điều này có tức là nếu ba mẹ răng xấu, hô vẩu thì nguy cơ con cái sinh... Xem tiếp »
Feb 7 2018, 02:33 PM
Bởi: HuongNguyennd
Mặc dù cười bị hở lợi, theo khoa học không tuyệt đối là một căn bệnh, nhưng nếu xét trên nhân tố thẩm mỹ thì cười hở nướu đem đến sự thiếu không còn tự tin và hoàn toàn có thể dẫn đến một vài tiền sử bệnh không phải có. Cá biệt một vài trường hợp bị cười bị bị hở lợi nặng có thể làm người dùng thiếu tự tin, làm giảm cười, hoặc thậm chí phải chọn lựa tay che miệng mỗi khi cười.
Nguyên nhân trở nên hiện trạng bị hở lợi, bao gồm:Cười hở nướu lợi do răng: Thân răng ngắn, răng mọc không lộ hoàn toàn gây nên thực trạng mất cân đối giữa răng và lợi,... Xem tiếp » |
Thực đơn người xem
Bài viết cuối
Những ai nên trẻ hóa da bằng thermage?
Phương pháp căng da mặt không cần phẫu thuật nào t Xóa nếp nhăn trên môi bằng cách nào? Muốn xóa nếp nhăn trán phải làm gì? Xóa nếp nhăn khóe mắt có khó không? Bí quyết xóa nếp nhăn mắt từ thiên nhiên Tìm hiểu về các địa chỉ hút mỡ bụng giá rẻ Xóa nếp nhăn bằng cách nào? Tìm hiểu về các Spa tắm trắng Giảm mỡ bụng không giảm cân bằng cách nào? (♥ Góc Thơ ♥)
Tik Tik Tak
Truyện cười
Xem theo danh mục
Xem theo danh mục:
Tìm kiếm: |