|
Nov 22 2015, 02:43 PM
Bởi: bsvinh73
Xem
Dubourg J et al. Ultrasonography of optic nerve sheath diameter for detection of raised intracranial pressure: A systematic review and meta-analysis.Intensive Care Med 2011 Apr 20; [e-pub ahead of print]. (http://dx.doi.org/10.1007/s00134-011-2224-2)
ONSD và U NÃO
Một nữ bệnh nhân 23 tuổi ở Bến cát Bình dương thường có những cơn mắt tối sầm thoáng qua từ 2 tháng nay, không nhức đầu hay buồn nôn. Khám tại địa phương 3 nơi, có 1 lần nghi phù gai thị .
Đến Trung tâm Medic Hòa Hảo bệnh nhân muốn khám lại mắt. Nhãn áp 2 bên bình thường. Chụp đáy mắt ghi nhận phù gai thị 2 bên.
Siêu âm mắt xác nhận có phù gai thị 2 bên, đường kinh bao dây thần kinh thị giác bên P=5,1mm, bên T=5,5mm.
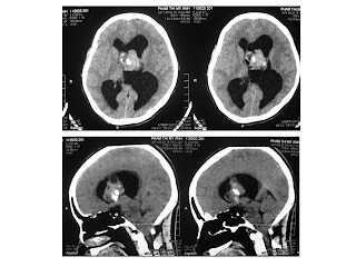
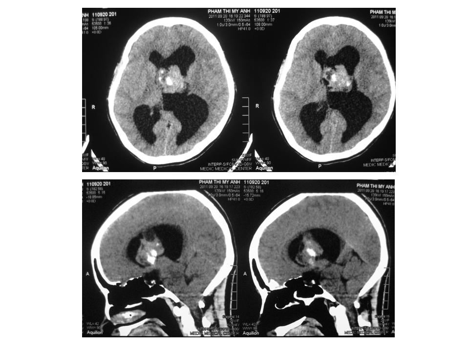
Siêu âm mắt nghĩ đến tăng áp lực nội sọ, đề xuất chụp MDCT não tìm nguyên nhân tăng áp nội sọ. Trên phim MDCT, thấy 1 u từ đám rối màng mạch não thất bên, có vôi hóa, khoảng 30mm, gần lỗ Monro và giãn não thất bên bên T nhiều hơn bên P.
Đây là một trường hợp tăng áp nội sọ mạn tính do u màng mạch não thất bên bên T chỉ có biểu hiện thực thể ở mắt (phù gai thị, tăng ONSD T > P, mất thị lực từng lúc). Vì bệnh nhân có u tuyến bã quanh mũi nên cần tìm thêm bằng chứng bệnh u xơ thần kinh (neurofibromatosis) Recklinghausen.
Đăng ký: Đăng Nhận xét ( Atom )
|
Bạn bè
Thực đơn người xem
Bài viết cuối
siêu âm thai màu 5D chẩn đoán sàng lọc trước sinh
bảng giá siêu âm màu Đ a khoa 2021 bsvinh73 SIEU AM DA KHOA 2019 bsvinh DANH MUC CHẨN ĐOÁN SIÊU ÂM ĐA KHOA TINH HOA 2019 SIÊU ÂM ĐA KHOA 2019 - TRAN LE VINH- TEl 098931597 KHONG BI UNG THU - BSVINH 2017 SIEU AM THAI NHI KHI NAO 2016- BSVINH73 SIEU AM MAT 2016 tranlevinh bs tran le vinh - lethihongthuy37- trangbong567 C TONG HOP KIEN THUC SUC KHOE 2016 -bstranlevinh- le Bình luận mới
bsvinh73 trong
DANH MUC CHẨN ĐOÁN SIÊU ÂM ĐA KHOA TINH HOA 2019
bsvinh73 trong DANH MUC SIEU AM 2011 bstranlevinh bsvinh73 trong KHONG BI UNG THU - BSVINH 2017 bsvinh73 trong BẢNG GIÁ SIÊU ÂM ĐA KHOA 2016 Tel 0989315973 Bs Tr bsvinh73 trong BẢNG GIÁ SIÊU ÂM ĐA KHOA 2016 Tel 0989315973 Bs Tr bsvinh73 trong BẢNG GIÁ SIÊU ÂM ĐA KHOA 2016 Tel 0989315973 Bs Tr bsvinh73 trong BẢNG GIÁ SIÊU ÂM ĐA KHOA 2016 Tel 0989315973 Bs Tr bsvinh73 trong SIEU AM MAT 2016 tranlevinh bsvinh73 trong bs tran le vinh - lethihongthuy37- trangbong567 C bsvinh73 trong Cắt Lớp Điện Toán (CT hay CAT Scan) bsvinh73@yahoo (♥ Góc Thơ ♥)
Tik Tik Tak
Truyện cười
Blog bạn bè
siêu âm thai màu 5D chẩn đoán sàng lọc trước sinhhttps://medlatec.vn/tin-tuc/phu-nu-mang-thai-co-nen-sieu-am-nhieu-lan-trong-3-thang-dau-khong-... bảng giá siêu âm màu Đ a khoa 2021 bsvinh73Bảng giá siêu âm đa khoa 2021 ( Giá bình dân ) Siêu âm thai 2D – đen... SIEU AM DA KHOA 2019 bsvinh19 Tháng 1 NAM 2016 BS TRAN LE VINH DANH MỤC SIÊU ÂM Đa Khoa... DANH MUC CHẨN ĐOÁN SIÊU ÂM ĐA KHOA TINH HOA 2019Những điều cần biết khi làm siêu âm Với sự ra đời của các... SIÊU ÂM ĐA KHOA 2019 - TRAN LE VINH- TEl 098931597DANH MỤC SIÊU ÂM
1, Siêu âm tim mạch 2,... Xem theo danh mục
Xem theo danh mục:
Blog chưa có danh mục nào. Tìm kiếm: Thời tiết
Giá Vàng
Tỷ giá
| ||||||||||||||||||||||||||||||||||||||||||||||||||||||||||||






Không có nhận xét nào :
Các liên kết với bài này